Monterey Park

Orthodontic Treatment in Monterey Park, CA

Get comprehensive orthodontic care for children, teens, and adults from board-certified orthodontist near Monterey Park.

Reliable Orthodontic Care Services near Monterey Park, CA

Looking for an orthodontist in Monterey Park CA? Valley Smiles Orthodontics provides Invisalign, braces, and early orthodontic treatment for children, teens, and adults. Our board-certified orthodontist creates customized treatment plans using digital scanning and flexible financing for patients in Monterey Park and surrounding neighborhoods.

Free Orthodontic Consultation Monterey Park

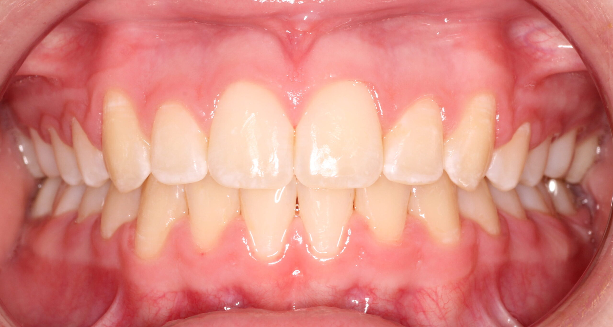
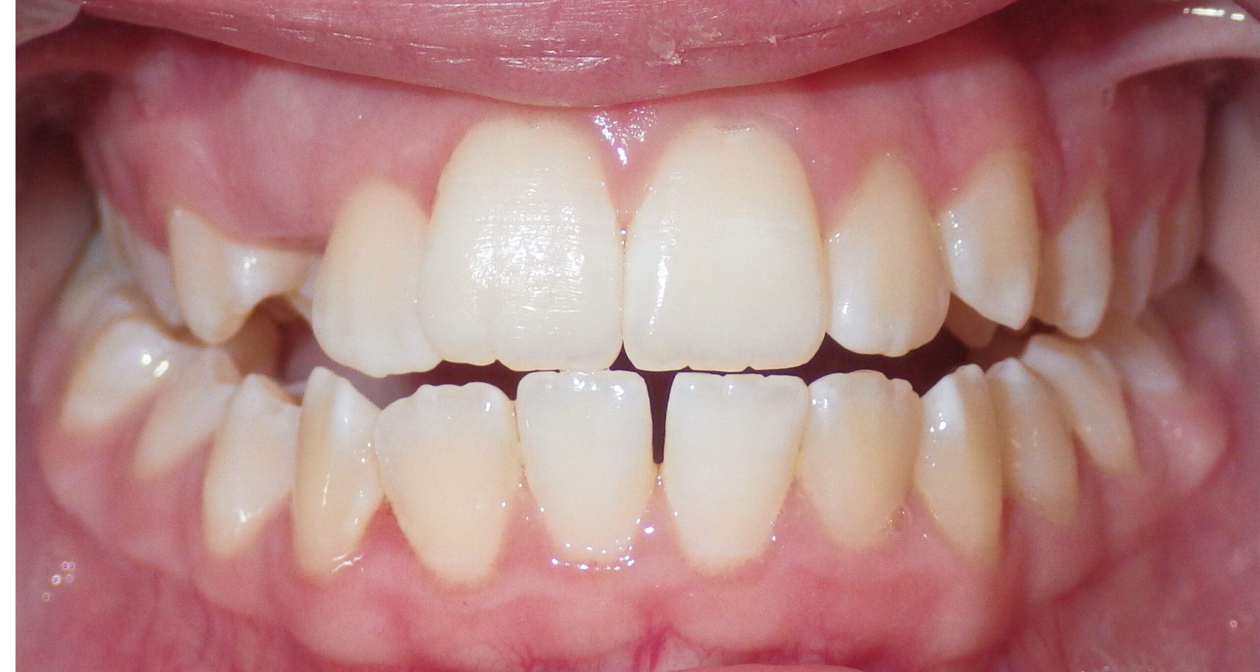
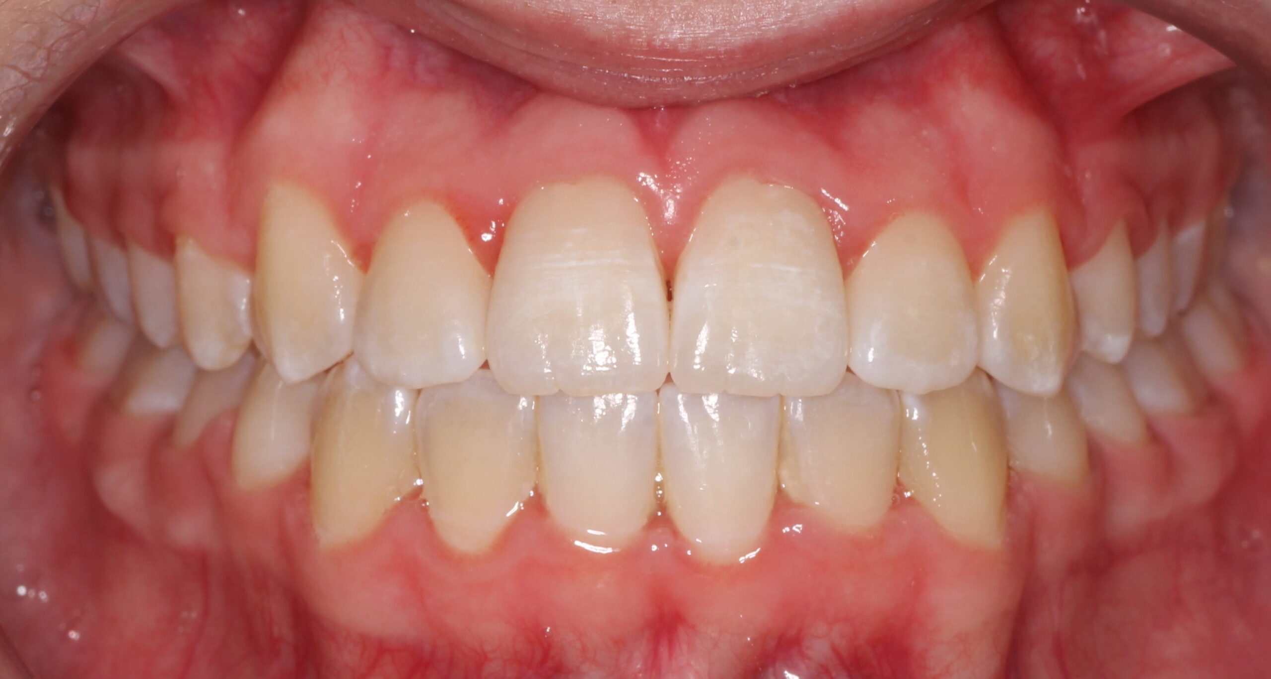
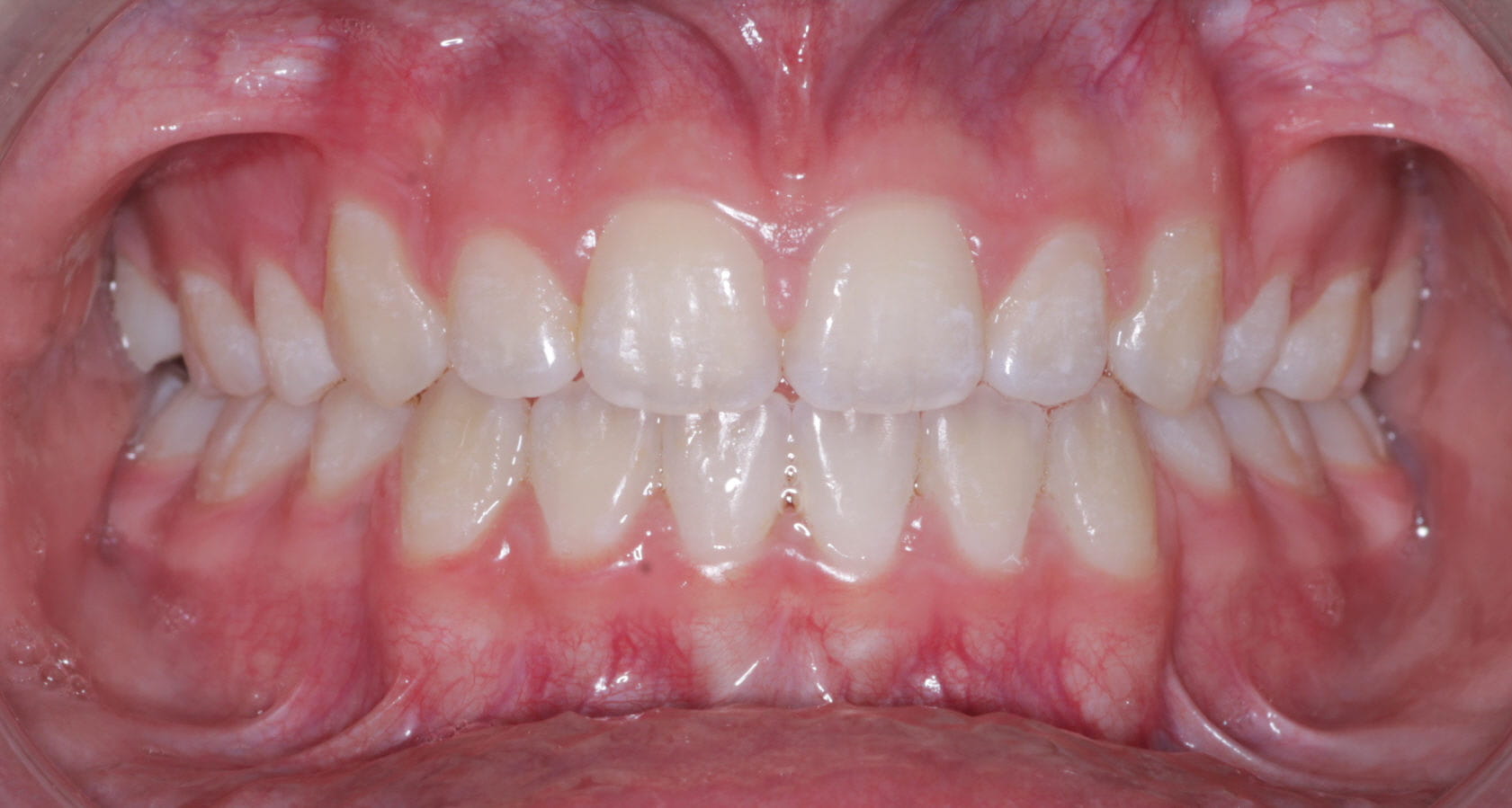
Real Smile Transformation.

valley smiles staff
dr with patient
photos for treatment

Your Monterey Park Orthodontist
Dr. Michael Lee

Board-Certified Orthodontic Specialist
A board-certified orthodontist recognized by the American Board of Orthodontics (ABO) demonstrates a commitment to the highest standards of patient care, expertise, and professionalism. ABO certification is a voluntary credential that exceeds the minimum requirements for practicing orthodontics and requires candidates to pass rigorous written and clinical examinations.
DMD: Boston University Henry M. Goldman School of Dental Medicine Magna Cum Laude

Specialty Degree: Orthodontics and Dentofacial Orthopedics, Jacksonville University Phi Kappa Phi, Omicron Delta Kappa Honor Societies

By selecting a board-certified orthodontist, patients and their families can have confidence in receiving high-quality, evidence-based orthodontic care.

Orthodontic Treatments near Monterey Park

We offer a wide range of treatments to meet diverse orthodontic needs:

Invisalign
Clear aligners provide discreet teeth straightening for teens and adults in Monterey Park. Digital scans create customized trays designed for comfort and predictable results.
Braces for kids and adults
Metal and ceramic braces correct crowding, spacing, and bite problems. Braces are effective for both children and adult orthodontic patients.
Clear Braces
Removable aligners offer flexible orthodontic treatment with fewer office visits and comfortable adjustments.
Early Orthodontic Treatment
Custom retainers maintain alignment and prevent relapse after orthodontic treatment.
Retainers
Custom retainers and follow-up care help maintain your newly aligned teeth and protect your investment in a healthy smile.
Surgical Orthodontic Care
It combines orthodontic treatment with jaw surgery to improve bite function, facial balance, and overall oral health.

Reasons Monterey Park Patients Choose Valley Smiles Orthodontics

Advanced digital scanning technology
Customized treatment plans
Flexible monthly payment options. Most PPO Insurances accepted.
Friendly, bilingual, and responsive team
Boutique office with attention to detail
Care exclusively by Dr. Michael. No revolving door of doctors.

Orthodontist Reviews from Monterey Park Patients

5.0

Directions from Monterey Park to Our Orthodontic Office

Our orthodontic office is located just minutes from Monterey Park CA, providing convenient access for families seeking Invisalign and braces nearby. Patients can reach our San Gabriel office in approximately 5–10 minutes via Valley Blvd, making appointments simple for Monterey Park residents.

Our office is easily accessible from downtown Monterey Park, providing a convenient location for families and professionals.

Valley Smiles Orthodontics Office

508 W Valley Blvd Ste. 2, San Gabriel, CA 91776
Mon–Fri: 9am–6pm, Sat: 8am–2pm
Free street parking

We’re just 5–10 minutes from central Monterey Park with easy access from Valley Blvd making appointments simple for local families and neighboring communities.

Frequently Asked Questions

Straight answers from a board-certified orthodontist

Do you offer orthodontic evaluations for Monterey Park residents

Yes. We provide comprehensive orthodontic evaluations for patients from Monterey Park. During the consultation, our board-certified orthodontist assesses teeth alignment, bite issues, and jaw development. Based on your needs, we recommend Invisalign, braces, or early orthodontic treatment along with a customized treatment timeline.

Patients from Monterey Park can choose from several orthodontic options, including Invisalign clear aligners, traditional metal braces, clear ceramic braces, early orthodontic treatment for children, and retainers. Each treatment plan is designed to address crowding, spacing, overbite, underbite, and overall smile alignment.

Yes. Clear aligners are a popular option for adults from Monterey Park who want discreet teeth straightening. These removable aligners gradually shift teeth into position while allowing you to eat and brush normally. Treatment is customized using digital scans for comfort and predictable results.

Our orthodontic office is located just minutes from Monterey Park, making visits convenient for families and professionals. Most patients can reach our San Gabriel location in about 5–10 minutes, with easy access via major roads and nearby parking available.

Yes, braces treatment requires periodic visits to monitor progress and make adjustments. Most Monterey Park patients return every 6–8 weeks depending on treatment complexity. These visits help ensure proper alignment, bite correction, and steady progress toward a straighter smile.

Yes. We offer early orthodontic treatment for children from Monterey Park, typically starting around age seven. Early evaluation allows us to guide jaw growth, correct bite issues, and create space for permanent teeth, helping reduce the need for more complex treatment later.

We accept many PPO dental insurance plans for orthodontic treatment. Our team helps Monterey Park patients verify benefits, estimate coverage, and understand out-of-pocket costs. Flexible financing options are also available for Invisalign and braces.

Yes. We welcome transfer patients from other orthodontists near Monterey Park. Our orthodontist reviews your current progress, evaluates your existing appliances or aligners, and continues treatment with minimal interruption while maintaining your original goals.

Start Your Orthodontic Journey in Monterey Park Today

Schedule your free consultation and find out why Valley Smiles is trusted for orthodontic care in El Monte, CA.