Traditional Braces Landing Page

Serving The San Gabriel Valley For 15 Years

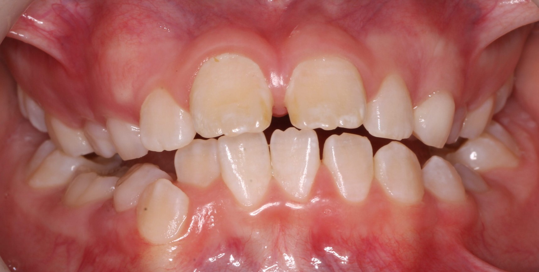
Fix Hidden Bite Issues in San Gabriel Before They Affect Your Smile & Confidence

Fix bite issues that haven’t been properly corrected—with proven braces and a plan that fits your budget.+ Start with a Free 3D Scan and O$ down

We fix the root cause of your bite—not just how your smile looks.

Request Your Free Consultation

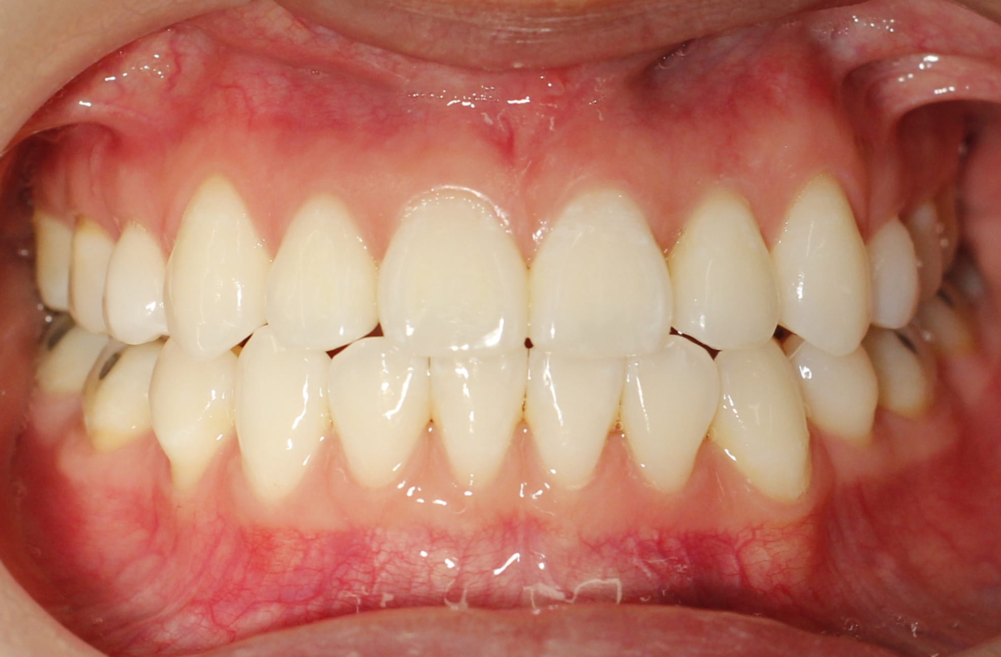
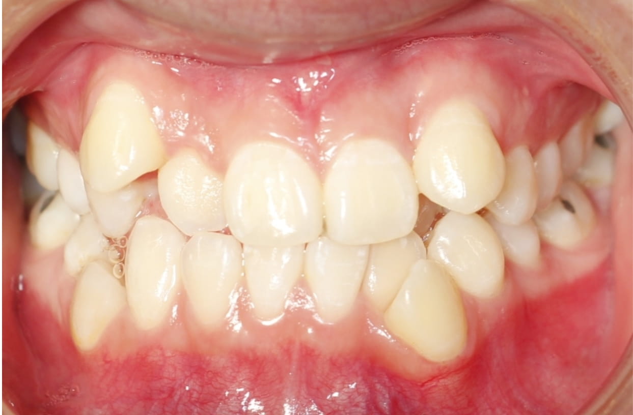
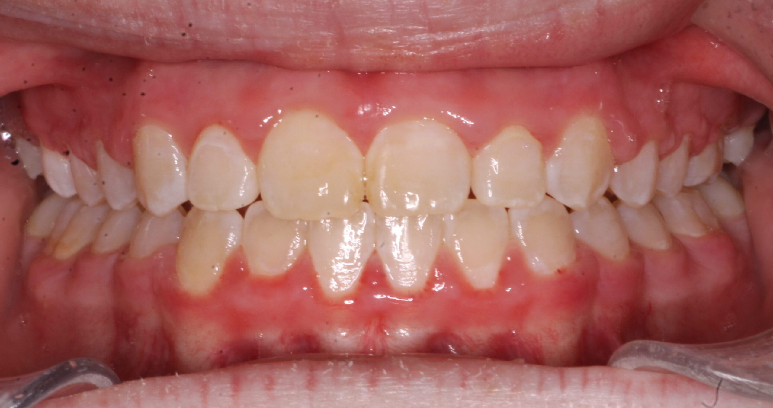
Real Results From Patients Like You

What Our Braces Patients Say About Us

Meet Your Board-Certified Orthodontist

Meet Your Board-Certified Orthodontist, Dr. Michael Lee

"Nothing gets me more excited than seeing a patient view their new smile for the first time after treatment is completed. It’s truly a pleasure being able to meet and establish life long connections with so many people from different walks of life while transforming their smile. I make sure to go above and beyond to ensure my patient’s concerns are addressed."
METAL BRACES SOLUTIONS

What Can Metal Braces Help Fix?

You know your smile or bite isn’t right — and you want a solution that’s strong, precise, and proven. Metal braces give you maximum control for even the most complex cases.

Severely Crowded Teeth
When teeth overlap or don’t have enough space, metal braces apply consistent force to gradually align them — creating a straighter, healthier smile that’s easier to maintain.
Large Gaps Between Teeth
Spaces between teeth can affect both appearance and function. Metal braces close gaps effectively, bringing teeth together for a more complete and confident smile.
Overbite & Deep Bite
If your upper teeth extend too far over your lower teeth, metal braces can correct the alignment — improving your bite, jaw function, and long-term dental health.
Underbite
When lower teeth sit too far forward, it can impact both chewing and appearance. Metal braces reposition your bite for better balance and function.
Crossbite
If teeth don’t align properly side-to-side, it can lead to uneven wear and discomfort. Metal braces help guide your bite into a stable, natural position.
Open Bite & Complex Cases
For cases where teeth don’t meet properly — or rotations and severe misalignment exist — metal braces provide the strength and precision needed for full correction.
Find Out If Metal Braces Are Right for You
Book your free consultation and 3D scan to see how metal braces can transform your smile — step by step.

Braces Options for Every Stage

Braces for Adults

Adults choose braces when:
  • Bite correction is complex
  • Invisalign isn’t ideal
  • Stability is the priority
If you want the most controlled and predictable correction, braces often win.
You’re not “too old.” You’re choosing long-term results.
See If Adult Braces Are Right for You

Early Braces for Younger Patients

In some cases, early orthodontic intervention prevents bigger issues later. We evaluate:
  • Jaw development
  • Spacing and crowding
  • Bite alignment
  • Growth patterns
Sometimes, early braces are recommended. Sometimes monitoring is better. We guide you based on long-term health, not pressure. Find Out What’s Best for Your Child
Traditional Braces

Thinking About Braces? Make Sure They’re Done Right.

Most people searching for braces already understand what they are.

What they really want is:

  • Confidence the treatment will fix the problem completely
  • A clear cost breakdown
  • A realistic treatment timeline
  • Expert guidance — not a rushed decision

At Valley Smiles Orthodontics, braces aren’t just placed. They’re carefully planned.

If traditional braces will give you (or your child) the most stable, long-term result, we’ll explain why.

If Invisalign is a better fit — we’ll say that too.

Why that matters

  • Precise diagnosis before treatment begins
  • Clear explanation of your best option
  • Focus on stable, long-term results
  • No pressure to choose what’s trending

Because braces are about precision, not trends.

Schedule Your Free Braces Evaluation

How Much Do Braces Cost?

Let’s answer the biggest concern upfront.

Braces cost depends on:

  • Case complexity
  • Length of treatment
  • Bite correction required
  • Appliance type

At your consultation, you’ll receive:

  • Complete cost breakdown
  • Insurance review
  • 0% interest financing options (if eligible)
  • Clear monthly payment estimates

No hidden fees. No surprise adjustments.

Traditional Braces for Real Bite Correction

Braces remain the gold standard for:

  • Severe crowding
  • Overbites & underbites
  • Crossbites
  • Jaw alignment issues
  • Complex cases Invisalign can’t fully control

If your case requires precision and strength, braces are often the best choice.

Most cases: 18–24 months depending on complexity.

Find Out If Braces Are Right for You
Smaller Brackets
More Comfortable
More Efficient
Highly Predictable

Already Had a Consultation Elsewhere?

We’re happy to provide a complimentary second opinion.

Traditional Metal braces treatment planning varies significantly between providers.
If you’ve been recommended Invisalign or metal braces,
we’ll evaluate your case independently and explain your options clearly.

No pressure. Just clarity.

Schedule a Free Second Opinion

Metal braces

Our San Gabriel Office

508 W Valley Blvd Ste. 2, San Gabriel, CA 91776
Mon–Fri: 9am–6pm, Sat: 8am–2pm
Free Street Parking.

Convenient For San Gabriel & Nearby Cities

Serving San Gabriel plus nearby communities: Alhambra, Monterey Park, El Monte, Rosemead, San Marino, Temple City, Arcadia.

What Happens at Your First Visit?

Your consultation is designed to give you total clarity, confidence, and a clear next step.

1
Digital 3D Scan
2
Bite Evaluation
3
Treatment Timeline
4
Full Cost Explanation
5
Insurance & Financing Review

You leave knowing:

  • Is braces the right option?
  • How long will it take?
  • What will it cost?

Our Orthodontic Services

Explore personalized orthodontic treatments designed to improve comfort, function, and confidence in your smile.

B

Brackets

Reliable orthodontic treatment to help align teeth and improve your smile over time.

O

Overbite Treatment

Correct bite alignment issues that may affect comfort, appearance, and oral function.

C

Crooked Teeth Treatment

Straighten misaligned teeth with customized treatment options for a healthier smile.

R

Retainers

Maintain your results and help keep your teeth in their new position after treatment.

T

TMJ Treatment

Support jaw comfort and function with treatment options designed for TMJ-related concerns.

B

Braces

Traditional and effective orthodontic care for correcting a wide range of alignment issues.

A

Clear Aligners

A discreet and comfortable way to straighten teeth with removable aligner trays.

O

Overcrowding Treatment

Create proper spacing and improve alignment when teeth overlap or crowd together.

S

Smile Improvement

Enhance the overall appearance of your smile with customized orthodontic solutions.

U

Underbite Treatment

Address jaw and bite positioning issues to improve both function and smile balance.

Compare Your Options

Traditional Braces or Clear Braces — Which Option Is Right for You?

Both options can straighten your teeth effectively, but the best choice depends on your treatment needs, appearance preferences, and how important durability and control are throughout the process.

Traditional Braces

  • Trusted and proven treatment for a wide range of orthodontic cases
  • Strong, durable metal brackets designed for reliable tooth movement
  • Fixed in place, so treatment stays on track without needing patient compliance
  • Often a practical option for kids, teens, and more complex cases
  • Great for patients who want effective results and long-term reliability

Clear Braces

  • Blend in better with your teeth for a less noticeable look
  • Popular with teens and adults who want a more discreet appearance
  • Offer the strength of braces with a more subtle design
  • Can be a good option for patients focused on appearance during treatment
  • May be preferred when aesthetics matter more in day-to-day life

Best Choice for Patients Who Want Proven, Reliable Treatment

Traditional braces are often the better choice for patients who want strong, consistent tooth movement and a treatment option that works well for many types of orthodontic cases.

Schedule Your Free Consultation

CONVENIENT FOR SAN GABRIEL & NEARBY CITIES

Valley Smiles vs High-Volume Corporate Offices

Valley Smiles
Corporate Offices

Frequently Asked Questions

Straight answers from a board-certified orthodontist

What is an Orthodontist?

An orthodontist is a dental specialist with 2-3 years of additional CODA-accredited residency training after dental school, focused on diagnosing and treating dental and facial irregularities.

Most teen and adult cases take 18–24 months. Minor cases may be shorter.

For complex bite corrections and cases requiring strong control — often yes. We evaluate which is best.

Yes. Traditional braces are highly effective for complex bite corrections.

Yes. Flexible monthly financing options are available.

No you do not need a referral by your general dentist to schedule a consultation at our office.

If needed, Phase I treatment is most commonly recommended around ages 7-9 while your child still has most of his or her baby teeth. Some issues the orthodontist will look for are crossbites, skeletal discrepancies, extreme crowding, and periodontal issues caused by misaligned teeth that can cause major problems while your child is developing. The major problems will be fixed first and then your child will have a break before Phase II treatment. Phase II usually occurs a couple of years later when the rest of the adult teeth have come into the mouth. Phase II treatment finishes when an ideal bite and smile is achieved.

Yes! It is never too late to get the smile you always wanted.

The American Association of Orthodontists recommends having your child be seen as early as age 7 by an orthodontist. The orthodontist can examine if there are any major concerns in regards to how the teeth and jaws are developing.

Patient’s will be seen in a 4-8 week interval depending on what we are trying to accomplish. The interval will be determined at each appointment by the doctor.

Yes, we’re located in San Gabriel near Alhambra, Monterey Park, El Monte, San Marino, Temple City, Montebello, & Los Angeles. We commonly see patients from these cities at your easy to access office.

Ready To Feel Confident About Your Smile?